top of page
Kenapa harus di Gigiku?

1
​Dokter Profesional Berpengalaman
Prosedurnya dilakukan dengan teknik yang tepat sehingga hasilnya optimal dan aman.
2
Prosedur Minim Rasa Sakit
Menggunakan alat modern yang dirancang untuk meminimalkan rasa tidak nyaman.
3
Mulut Lebih Bersih, Nafas Lebih Segar
Dental SPA membantu membersihkan plak ringan, menyegarkan rongga mulut, serta menjaga gusi tetap sehat.
4
Harga Terjangkau dengan Kualitas Premium
Tanpa mengurangi kualitas pelayanan, cocok untuk kamu yang ingin perawatan profesional namun tetap hemat.
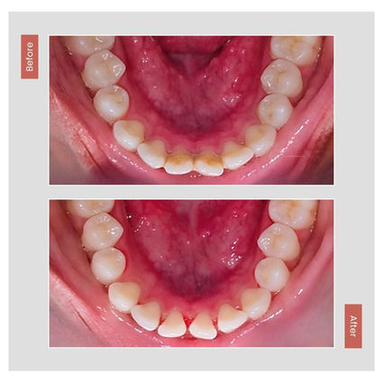
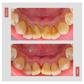
Hasil Dental SPA Di Gigiku
bottom of page














